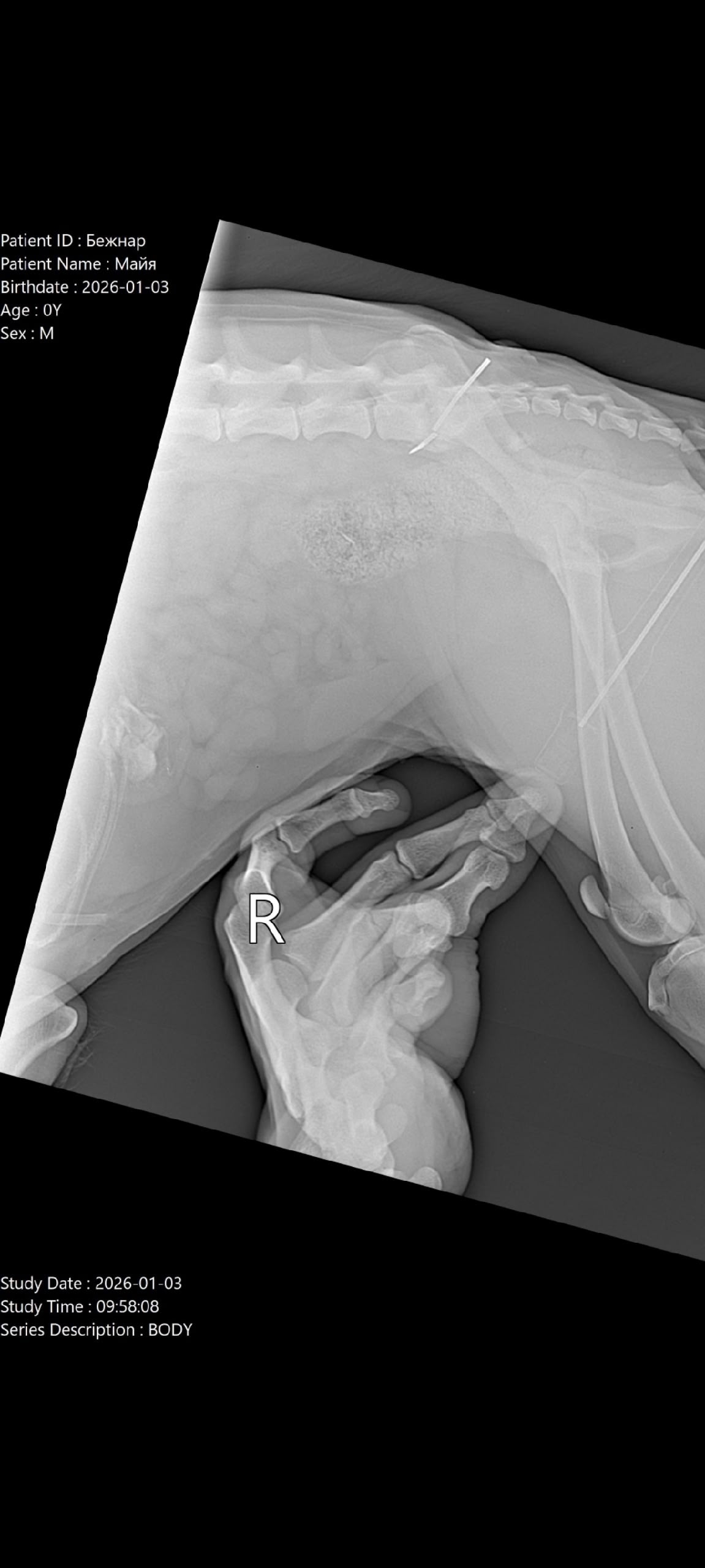
‼Собака с иглой в позвоночнике‼️️Малышка Майка 8 мес, должна..
‼Собака с иглой в позвоночнике‼️️Малышка Майка 8 мес, должна была погибнуть в Ессентуках, местные не равнодушные люди смогли спасти её из чёрного отлова и отправили в Москву. Казалось бы всё беды позади, но огромная рана в области крестца, свищи, БОЛЬ не даёт малышке покоя. Рентген показал, что причина всего сломанная огромная игла в позвоночнике.‼️ Нужна операция ( тянуть нильзя рядом аорта, обломок может начать двигаться и всё…). Но как всегда цена счастья упирается в деньги. Операция стоит 22-30т., обследование (УЗИ сердца, кровь, посев из свищей) 6200.
ПОДАРИТЬ ЖИЗНЬ Маюшке может КАЖДЫЙ. Одному сложно, вместе всё получится🙏
Подробная информация и отчёт в группе ТГ
t.me/+fj-KlK9eV…



